保育士のいる朝霞の歯医者「青葉歯科医院」からのご挨拶
医院情報
医院名 | 医療法人社団 泰青会 青葉歯科医院 |
---|---|
電話番号 | 048-474-8246 |
住所 | 〒351-0033 埼玉県朝霞市浜崎1-2-10 アゴラ21ビル3階 |
診療時間 |
月・火・水・木・金・土 |
休診日 | 日曜、祝日、当院で定めた休日 |
提携大学病院 | 東京医科歯科大学歯学部付属病院 明海大学歯学部付属明海大学病院 昭和大学歯科病院 埼玉県立がんセンター 他 上記以外の他の施設でも患者様の希望があれば紹介状を書かせて頂きます。 |
地図 | ![]() |
アクセス | 東武東上線「朝霞台駅」、武蔵野線「北朝霞駅」より徒歩1分 |
医院紹介
受付
当院の受付になります。スタッフ一同。笑顔でお迎えしますので、ご来院の際はまずこちらへお立ち寄りください。
待合室
ゆったりとリラックスできる待合室です。お時間になりましたらお名前をお呼びいたしますので、それまでは緊張なさらずにソファでおかけになってお待ちください。
カウンセリングルーム
治療前後に患者様のお悩みや治療のご希望などをコーディネーターが詳しくお聞きし、サポートさせていただきます。また、個室になっているので他の患者様を気にすることなく安心してお話いただけます。
診療室
ゆったりとした診療室です。パーテーションで区切られていますので、安心して治療にお臨みください。
キッズスペース
お子様が治療までの時間を飽きずに待てるように、キッズスペースを設置しています。当院では、保育士がお子様をお預かりいたしますので、親御様も安心してご来院ください。
口腔外バキューム
歯を削った時に発生する削りカスや血液、細胞といった目に見えない細かい粉塵を吸い取る器械です。
トイレ
トイレには「おむつ交換台」も設置しております。お子様のおむつ替えも人の目を気にせずに行うことができます。
血圧計
高血圧や心疾患などの全身疾患をお持ちの方に麻酔や抜歯を行う際に血圧計を使用しています。心電図や心拍、血圧、血中酸素濃度を計測しながら治療を行いますので、安心して治療にお臨みください。
オパレッセンス ブースト35%
熱を発しない、特殊な光を当ててホワイトニングを行う機器です。効果がでるのが早く、当院でもオススメしているホワイトニング方法です。
当院の歯科用CT(RevoluX)について
当院は最先端の歯科用CT RevoluXを導入しています。
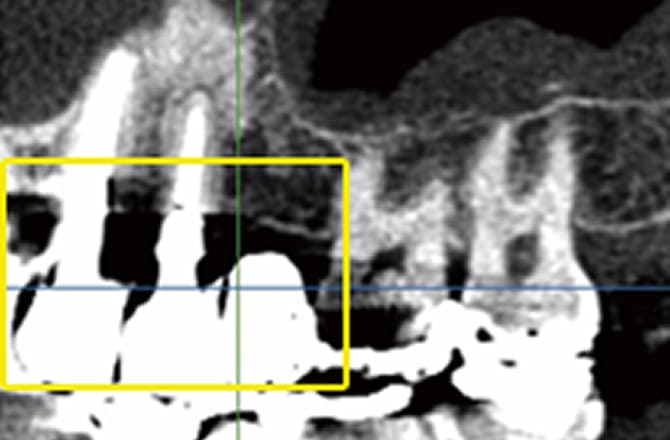
このCT装置は、歯やあごの骨を立体的に細かく診断できるだけではなく、従来の歯科用CTではできなかった骨質(骨の固さ)の診断を正確にすることができる最先端の装置です。
従来のレントゲンとの違い ~立体で把握~
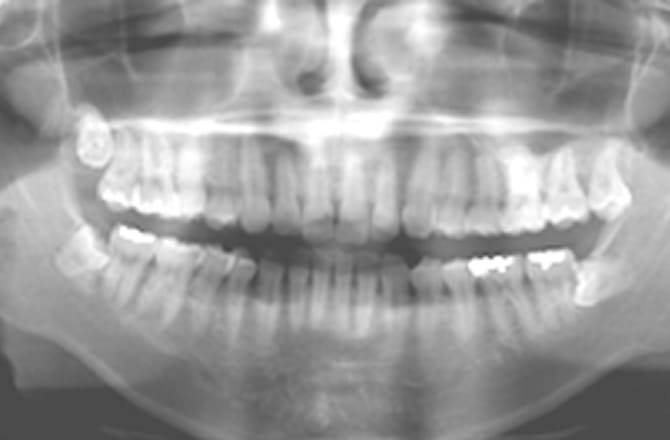
従来のレントゲンでは2次元の平面画像しか得られません。
一方、歯科用CTを用いると3次元の立体画像が得られるので、平面画像ではわからなかった歯やあごの骨の詳細な立体構造や神経の位置などを精度高く把握することができ、より適切な診断・治療が可能になります。
-
従来のパノラマレントゲン
2次元の平面画像のみ
-
歯科用CT
立体で把握
他の歯科用CTとの違い
1.正確に骨質を把握
-
他の歯科用CTは歯やあごの骨を立体的に把握することはできるものの、骨質(硬さ)について正確に把握することはできません。
一方で、当院の歯科用CTは骨質(硬さ)を正確に計測できるため、骨質(硬さ)を事前に把握しておくことが重要であるインプラント治療に特に有効です。当院の歯科用CTは数ある歯科用CTの中でも特に優れた性能を持つ装置です。 -
硬いあごの骨
軟らかいあごの骨
2.金属の影響を除去
-
口の中は体の他の部分とは違い、歯の詰め物や被せものとして金属があります。金属はX線を通しにくいため、その影響でこれまでのCTでは周りの骨の状態が把握できないことがありました。
当院の歯科用CTは金属の影響を除去するプログラムを搭載していますので、他のCTでは金属の影で映らない部分の骨でも診断することができます。 -
これまでのCT:金属の周りが黒くなり映っていません。
当院の歯科用CT:金属の周りでも骨の状態を診断できます。
インプラント治療がより安全・確実に
-
インプラント治療はあごの骨の中にインプラントを埋める治療で、あごの骨がどういう形態になっているか?神経はどの位置にあるか?隣り合う歯との関係性はどうか?などを把握するために立体的に診ることが欠かせません。
そういった立体的な把握に加え、骨質(硬さ)もわかる当院の歯科用CTは他のどの歯科用CTよりもインプラント治療に最適であるといえます。 -
その他さまざまな治療もより安全に
当院の歯科用CTは、インプラント治療以外にもさまざまな治療で有効に活用することができます。
-
・歯の根っこの治療
・歯周病の治療
・親知らずの治療
・顎関節症の治療 -
患者様に負担の少ない撮影 ~わずか20秒~
-
CT撮影というと、大掛かりな撮影を想像される
かもしれませんが当院の歯科用CTは
短時間(20秒程度)で撮影が完了します。
もちろん痛みも何もありません。 -
患者様に優しい低被ばく
当院の歯科用CTは、インプラント治療以外にもさまざまな治療で有効に活用することができます。
-
CT撮影には被ばくが伴いますが当院の
歯科用CTは低被ばくを実現した装置です。
医科用CT装置の15分の1程度の被ばくで
安心してご撮影いただけます。 -
当院へのご予約を希望の方へ お電話の方は048-474-8246
青葉歯科医院を初めてご利用される方
お痛みのある方、当日診察をご希望などのお急ぎの方は申し訳ございませんが、診療時間内にお電話ください。(048-474-8246)
操作方法のご説明
- 予約可能な日時には
が表示されますので、それをクリックします。
(※注1)都合のよい日時が無い場合は、ボタンをクリックして日付移動します。
-
お名前、お電話番号、メールアドレスを入力します。(全て入力必須です。)
お名前は「漢字」ではなく、「かな」で入力します。ボタンをクリックします。
- ご予約確認の画面が表示されますので、間違えが無ければ、
ボタンをクリックします。これで予約完了です。
過去に当院への通院歴がある方・最近通院された方
お痛みのある方、当日診察をご希望などのお急ぎの方は申し訳ございませんが、診療時間内にお電話ください。 (048-474-8246)
- このサービスは「予約」と「予約の変更」のみ受け付けております。キャンセルされる場合は 受付までお電話ください。 なお、予約の変更は お約束の2日前まで利用可能となっております。
- 治療の内容によっては、予約の変更ができない場合がございます。その場合は、受付までお電話ください。
- 担当スタッフのご指名は、オンラインではお受けしておりませんので、ご希望の方は診療時間内にお電話にてご予約ください。

- 既存患者様用の予約ページにアクセスします。
- ログイン画面の「患者番号(診察券に記載された番号)」と「生年月日 (西暦から8桁)」を入力し、ログインボタンをクリックしてください。
- 「■登録情報変更」をクリックしてメールアドレスを登録します。(初回のみ)
- 登録が完了したら「メニュー」に戻ります。
ボタンをクリックします。
- 予約可能な日時には、
が表示されますので、それをクリックします。
(※注1)都合のよい日時が無い場合は、ボタンをクリックして日付移動します。
- ご予約確認の画面が表示されますので、間違えが無ければ、
ボタンをクリックします。